您当前的位置:
南华大学附属第二医院
>>>>
内科系统
肿瘤中心
点击数:次
发布时间:2024-08-28 19:58
来源:科室
作者:党政办

肿瘤中心医护合影
肿瘤中心由肿瘤一区、肿瘤二区、放疗中心及日间放化疗病房共4个部分组成,开设床位105张,共有医师18人,护士35人,物理师2人,技师6人。其中教授、主任医师3人,副教授、副主任医师8人,硕导3人,博导1人,在职医师学历均在硕士以上,其中博士3人,在读博士4人。亚专科包括头颈肿瘤鼻咽癌、胸部肿瘤肺癌、腹部肿瘤胃肠癌肝癌、血液病、盆腔肿瘤宫颈癌、乳腺癌。开展恶性肿瘤放疗(IMRT、IGRT、VMAT、SBRT等技术)、化疗、靶向、生物免疫及肿瘤综合治疗技术;开展PICC、胸壁输液港、手臂输液港等多种血管通路新技术。肿瘤中心年出院患者4000余人次,年门诊15000余人次,年放疗患者500余人次,年放疗70000余野次。CMI值为1.29-2.56。近十年来科室在教学、科研方面都取得了较大的进步,科室承担南华大学医学院临床本科生和研究生的教学任务,近3年获得省级课题3项、市级课题3项,在国内外核心期刊发表论文10余篇,多次承办省市放疗学术会议。
革新之力重塑抗癌未来——南华大学附属第二医院肿瘤中心
在癌症治疗领域,现代放射治疗技术正以颠覆性创新改写临床实践格局。作为多学科整合治疗体系的核心支柱,其突破性进展已形成"精准制导、智能调控、个体攻坚"三位一体的技术矩阵。南华大学附属第二医院肿瘤中心于2025年率先引入的Elekta Infinity数字化直线加速器平台,六维碳纤维治疗床,4D锥形束CT与红外呼吸门控系统,可实时追踪肿瘤位移,配合Agility160片多页多叶准直器,使剂量误差控制在1%以内;采用剂量计算的金标准--蒙特卡洛算法,10分钟内生成精准的剂量分布方案,使靶区均匀性提升至95%以上。
南华大学附属第二医院肿瘤中心团队积极开展了多学科诊疗模式,为患者提供全面、综合的治疗方案,中心开展放射治疗十余年,累计完成放射治疗病例6000余例,具有丰富的放射治疗临床实践经验,此次引进Elekta Infinity直线加速器,使患者在家门口便可享受高端的放射治疗服务。

一、亚毫米级定位
影像引导放疗(IGRT)是通过多模态医学图像(CT/MRI/PET-CT)实现治疗过程中的实时成像,动态追踪肿瘤位置(如肺癌患者的呼吸运动),将治疗误差控制在1mm以内。锥形束扫描(CBCT)实现分次间和分次内扫描,在患者的整个疗程内实现自适应式的动态监测,针对患者制定完全个体化的治疗方案。此外,Infinity加速器配备的4D放疗技术可针对胸腹部肿瘤,结合红外光学呼吸门控技术,进行实时的呼吸运动监测,从而确保射线精准同步肿瘤的运动轨迹。

二、剂量雕刻技术
传统的调强放射治疗技术(IMRT)是利用Agility多叶准直器动态调整射线强度,使高剂量区与肿瘤三维形状高度吻合。而Infinity加速器配备的容积旋转调强(VMAT)技术和无均整器治疗模式(FFF)可实现360°旋转同步多页准直器运动照射,治疗剂量率最高可到1400Mu/min,剂量梯度陡峭(如鼻咽癌靶区剂量达70Gy,脊髓受照剂量<45Gy)。治疗效果提升的同时也将单次治疗时间缩短至2-5分钟,相比传统的IMRT技术治疗时间缩短了80%。

三、超高剂量率治疗
立体定向放射外科(SRS/SBRT):单次给予15-30Gy超高剂量(如早期肺癌SBRT的3年局部控制率>90%),通过大分割治疗的生物学效应(缺氧细胞再氧合)增强肿瘤的局部控制率。适用于不宜手术早期肺癌、肝癌等的根治性治疗;复发、转移恶性肿瘤;良性肿瘤包括:听神经瘤、脑膜瘤、垂体瘤、颅咽管瘤、动静脉畸形、海绵状血管瘤、三叉神经痛及癫痫灶等。

早期肺癌的SBRT治疗
四、肿瘤患者信息管理系统
肿瘤患者从诊断入院到结束治疗的过程中会产生海量的治疗信息,Infinity加速器配套的Mosaiq信息管理系统可无缝对接智能勾画工作站、临床病历和放疗计划系统,自动构建患者全周期数字档案。且在放射治疗的过程中,全程跟踪并记录患者的摆位信息,最大限度得消除治疗过程中的不确定性带来的剂量偏差。
五、基于人工智能的靶区勾画
科室本次引进了先进的人工智能辅助靶区勾画系统,新型的智能勾画系统相比于传统的基于图谱(Atlas-based)的自动勾画更具有优势,在放疗靶区勾画阶段可结合多模态成像对特定的靶区进行融合和配准,可精准识别病灶范围。

CT/MRI配准图像
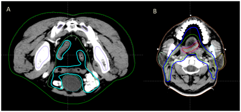
并成功实现了复杂靶区的自动勾画,以鼻咽癌靶区勾画为例,传统手工勾画需要2-3小时,而自动勾画只需2分钟,大大简化了放射治疗的靶区勾画流程,从而缩短了患者的住院周期。

腹部和头颈肿瘤自动勾画效果
六、放疗专用大孔径模拟定位CT
科室引进了放疗专用大孔径CT--西门子SOMATOM go.Sim,传统诊断级CT机扫描孔径为65cm,而大孔径CT的扫描孔径为85cm,可满足各种治疗体位的肿瘤患者。

由于辐射剂量和图像质量的局限性,传统的CT在常见癌症特别是乳腺癌的诊疗中大多进行辅助肿瘤定位,而西门子的双能CT能够进一步提升诊疗的效率,能够有效进行癌症的分期分级诊断和早期筛查。相比传统CT,双能CT基于物质在不同能级射线中衰减不同,通过高能级和低能级两种射线同时扫描,结合物质本身的衰减系数能够精准计算出物质的成分,对于肿瘤的异质性鉴别具有重要的意义。

双能CT扫描
七、放射治疗适应症
各种常见肿瘤(肺癌、食管癌、鼻咽癌、乳腺癌、宫颈癌、直肠癌、肝癌、胃癌等),以及胶质瘤、垂体瘤、脊索瘤、听神经瘤、腮腺肿瘤、视网膜黑色素瘤等。
动静脉畸形、血管瘤、滑膜炎、瘢痕治疗、三叉神经疼痛等










