您当前的位置:
南华大学附属第二医院
>>>>
内科系统
消化内科
点击数:次
发布时间:2019-06-13 16:12
来源:南华大学附属第二医院
作者:党政办

科室介绍
我院消化内科创建于1957年,现为国家临床重点专科(建设)专科、南华大学首批硕士学位授权点、湖南省临床重点专科、湘南区域医疗中心(消化系统)、湖南省“十二五”重点建设学科、南华大学重点学科、全国早期胃癌筛查基地,“消化道肿瘤基础与临床药理研究”湖南省重点实验室以及湖南省胃癌防治临床研究中心挂靠单位,在消化内科疑难危重症诊治、消化内科常见疾病防控、基础与临床研究及转化等方面全面发力,打造成了集医疗、教学、科研为一体的消化系统疾病诊治中心,实现消化道疾病的全谱系精准治疗。
【特色优势】
一、精准诊疗体系
(一)微创技术高地
配备国际领先的富士能7000、奥林巴斯290内镜系统,常规开展胃镜、肠镜、超声内镜、放大内镜、小肠镜、胶囊内镜等,实现:
1. 胆胰疾病精准治疗:常规开展ERCP、PTCD、EUS、EUS-FNA / FNB、EUS引导下胰腺假性囊肿穿刺引流术等多种技术,不用开刀解决“胆胰难题”,创伤小、恢复快、费用省。科室每年完成微创胆胰手术超500例,相当于每天成功救治1-2例患者,包括大量高危胆总管结石患者(尤其适合高龄、心肺功能差患者)。通过“双镜联合”方案(ERCP+Spyglass系统)使结石清除更彻底、术后并发症减少、住院时间缩短。何涛副主任医师在湖南省ERCP青年医师内镜操作比赛活动了全省第二名的好成绩。
1. 胆胰疾病精准治疗:常规开展ERCP、PTCD、EUS、EUS-FNA / FNB、EUS引导下胰腺假性囊肿穿刺引流术等多种技术,不用开刀解决“胆胰难题”,创伤小、恢复快、费用省。科室每年完成微创胆胰手术超500例,相当于每天成功救治1-2例患者,包括大量高危胆总管结石患者(尤其适合高龄、心肺功能差患者)。通过“双镜联合”方案(ERCP+Spyglass系统)使结石清除更彻底、术后并发症减少、住院时间缩短。何涛副主任医师在湖南省ERCP青年医师内镜操作比赛活动了全省第二名的好成绩。
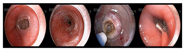
2. 消化道病变微创治疗:通过规范化开展EMR(内镜下黏膜切除术)、ESD(内镜下黏膜下层剥离术)、EFR(内镜下全层切除术)、ESE(内镜黏膜下挖除术)、STER(内镜经黏膜下隧道肿瘤切除术)、POEM(经口内镜下肌切开术)、ARMS(内镜抗反流黏膜切除术)等国际主流消化内镜微创技术,可精准切除早癌、疏通狭窄管道、修补出血伤口,让患者在无切口情况下治愈食管、胃、肠道的多种疾病,术后第二天即可恢复饮食。包括但不限于:
(1)肿瘤性病变:食管/胃/结直肠早癌、Barrett食管伴高级别上皮内瘤变、胃肠道间质瘤(GIST)、神经内分泌肿瘤
(2)黏膜下病变:脂肪瘤、囊肿、纤维瘤、异位胰腺等良性肿瘤
(3)功能障碍性疾病:贲门失弛缓症、幽门狭窄、吻合口狭窄、胃食管反流病
(4)出血性疾病:Dieulafoy病变、血管畸形、溃疡性出血
(5)医源性并发症:ESD术后迟发出血、消化道穿孔镜下修补
(6)其他病变:巨大息肉(≥2cm)、黄色瘤、淋巴管瘤
3. 肝硬化门脉高压救治:于1991年在湖南最早开展肝硬化食管静脉曲张套扎技术,并举办了两次全国学习班。组建了涵盖消化内科、血管外科/介入科、肝胆外科、重症监护室、放射影像科、输血科等多学科的MDT团队,系统化开展肝硬化门脉高压症诊治,目前常规开展胃底曲张静脉组织胶注射术、食管曲张静脉硬化剂注射术、ESVD、TIPS、PTVE、痔静脉内镜下治疗等治疗技术,成功救治大量急性消化道大出血患者,举办多次学习班并进行了手术演示。
4.良恶性狭窄支架置入术:开展食道、肠道、胆道、胰管等支架置入术,通过导管、导丝等介入器械,将支架放于狭窄处,使之扩张、通畅,可有效消除梗阻症状,明显改善进食等情况,提高生活质量。 具有创伤微小,见效迅速,临床效果好,可重复操作等优点。
其他尚可开展肿瘤消融术、肝穿刺活检、消化道高分辨测压技术等技术。
(二)早癌筛查先锋
省内首家开展县域胃癌早筛项目,致力于高危人群筛查及健康教育,大大提高了消化道早癌检出率。该团队的病案曾获得全国优秀消化道病例比赛总决赛第三名、湖南省消化道早癌比赛第一名的好成绩。
(三)多学科诊疗平台
以提供高质量、全方位、精准化、规范化及个体化的诊疗服务为目标,组建炎症性肠病(IBD)、疑难肝病、结直肠癌、肝癌、门脉高压症等MDT团队,建立“诊断-治疗-随访”全病程科学管理体系,开设乙肝临床治愈门诊、炎症性肠病专病门诊、幽门螺杆菌专病门诊等,为患者制定最适合的治疗方案。
二、科研创新实力
挂靠本学科的消化道肿瘤基础与临床药理研究湖南省重点实验室以及湖南省胃癌防治临床研究中心配置了近3000万元的先进实验仪器设备,开展消化道肿瘤精准治疗研究,目前已完成及在研的国家自然科学基金课题近5项,省部级课题10余项,市厅级课题30余项,获得科研经费近千万元。近五年间发表科研论文数十余篇,SCI收录二十余篇,CSCD或核心期刊收录二十余篇。以双聘教授曹德良教授为首的科研团队,研发全球首个血清AKR1B10肝癌诊断试剂(获湖南省医学科技创新一等奖)、2022年度湖南省临床十大新技术奖(除省会外唯一)!
【人才团队】
一、现有高级职称专家19人,博/硕士导师7人,博士12人(含在读3人)
二、多人担任中华医学会及中国老年医学学会消化分会委员
三、香港中文大学医学院的教学医院威尔斯亲王医院、佛罗伦萨大学附属卡内基医院、日本自治医科大学附属医院等著名大学和医院访问学习
四、培养中国大学生医学技术技能大赛一等奖获得者12名
【惠民服务】
一、便捷诊疗
开设消化道出血24小时急救绿色通道
二、健康守护
免费开展消化道早癌筛查、丙肝筛查义诊
定期举办IBD病友会、肝病健康大讲堂
【社会担当】
一、连续多年举办消化内科/消化内镜技术培训班
二、对口支援8家县级医院建设消化专科或消化内镜中心
【发展愿景】
秉承"早发现、精治疗、重预防"理念,建设国家级临床重点专科,为人民群众提供全生命周期健康管理服务。
新院地址:门诊楼四楼消化内科门诊、消化内镜中心联系电话:0734-8899938 第一住院部十四楼消化内科二区联系电话:0734-8899680
第一住院部十五楼消化内科一区联系电话:0734-8899681 东院地址:门诊楼四楼消化内镜中心联系电话:0734-8288061
南华大学附属第二医院消化内科特色技术简介
【ERCP】
我院自1992年开展ERCP微创技术(经内镜逆行胰胆管造影术),通过口腔置入内镜精准治疗胆管、胰腺疾病,每年完成微创胆胰手术超500例,相当于每天成功救治1-2例患者。无需开刀即可完成:
① 胆管/胰管支架置入解除黄疸;
② 胆管结石碎石取石(包括部分肝内结石);
③ 联合高清胆道镜(Spyglass)直视下安全处理高危结石。
具有创伤小(体表无切口)、恢复快(术后2-3天出院)、并发症少等优势,特别适合高龄及合并基础疾病患者。其中,何涛副主任医师在湖南省ERCP青年医师内镜操作比赛活动了全省第二名的好成绩。

【食管胃底静脉曲张出血治疗】
我院肝硬化门脉高压治疗MDT团队专注微创止血技术,针对食管胃静脉曲张破裂大出血提供精准治疗:
① 胃底曲张静脉精准封堵术:采用医用组织胶快速止血,降低再出血风险
② 食管曲张静脉硬化剂注射术+套扎术:省内最早(1989年)开展,30余年成功救治超5000例危急患者
③ 微创介入治疗:包括经颈静脉肝内分流术(TIPS)、经皮肝穿静脉栓塞术等,避免开腹手术创伤
作为技术先锋,我科累计培养专业医师400余人次,通过手把手教学推动区域诊疗水平提升。患者术后次日可进食,3-5天康复出院。

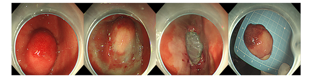
【消化道早癌】
我院消化内镜中心致力于消化道早癌精准防治,采用国际领先技术为患者保驾护航:
① 早癌筛查:2016年在湘南地区率先开展了消化道早癌精查技术,2017年在省内最先开展早期胃癌的筛查,利用高清内镜精查技术(放大内镜、染色内镜),可发现毫米级早期病变,筛查准确率达95%以上
② 微创治疗:开展内镜下精准切除术【EMR(内镜下黏膜切除术)、ESD(内镜下黏膜下层剥离术)等】,无需开腹即可完整切除早癌,五年生存率接近100%
③ 技术优势:拥有国际领先的内镜系统,建立早癌"筛查-诊断-治疗"全流程标准化体系
开展以来,累计完成微创手术超千例,患者术后次日即可进食,3天恢复日常活动。


放大内镜+染色内镜用于消化道早癌的诊断,相当于“内镜活检”,可早期诊断消化道肿瘤。膜切除术EMR

内镜黏膜切除术(EMR)用于治疗消化道息肉、腺瘤及部分早癌。

内镜粘膜下剥离术(ESD)用于治疗消化道早癌、大腺瘤等。

内镜粘膜下挖除术(ESE)用于治疗消化道粘膜下肿瘤、如间质瘤、平滑肌瘤、脂肪瘤、神经纤维瘤等。

内镜经粘膜下隧道肿瘤切除术(STER)用于治疗食管粘膜下较大肿瘤、胃底粘膜下肿瘤等。
【IBD及消化道动力性疾病】
我科作为湖南省炎症性肠病专病联盟核心成员单位,在消化系统疑难疾病诊疗领域处于省内领先地位。科室配备国际先进的高分辨率食管肛管动力监测系统,成熟开展生物反馈疗法、内镜下肌切开术(POEM)及抗反流黏膜切除术(ARMS)等微创技术,在贲门失弛缓症、难治性胃食管反流病的精准治疗方面形成显著技术优势。
依托标准的炎症性肠病(IBD)多学科诊疗中心(MDT),我们建立了从早期筛查、精准分型到全病程管理的规范化诊疗体系,累计为200余名IBD患者制定个性化治疗方案。通过引进双气囊电子小肠镜及超声内镜技术,构建了小肠疾病三维可视化诊断平台,有效提升了克罗恩病等复杂肠病的早期检出率,为炎症性肠病的分级诊疗提供了重要技术支撑。

抗反流黏膜切除术(ARMS)用于治疗胃食管反流病。

经口内镜下肌切开术(POEM)用于治疗贲门失弛缓症。
【消化道良恶性狭窄及消化道异物】
我科常规开展食道、肠道、胆道、胰管等支架置入术,通过导管、导丝等介入器械,将支架放于狭窄处,使之扩张、通畅,可有效消除梗阻症状,明显改善进食等情况,提高生活质量。具有创伤微小,见效迅速,临床效果好,可重复操作等优点。









